극심한 고통을 준다는 뇌종양은 일반적인 두통과 차이가 있습니다. 보통의 두통이라면 오래 누워 있으면 호전이 됩니다. 하지만 뇌종양이 원인 된 통증은 시간이 갈수록 심해지며 새벽에 두통이 가장 심합니다.
발병 부위에 따라서도 증상이 달라지기도 하고 운동 중추 부위에 발생하면 팔, 다리의 마비가 오기도 하죠. 언어 중추 부위라면 말이 어눌해 지기도 합니다. 이번 시간에는 뇌종양의 원인과 뇌종양의 초기 증상에 대해서 알아보겠습니다.

@ 뇌종양 원인
뇌종양 발병 원인은 정확히 밝혀진 것이 없습니다. 그래서 소리 없는 살인자라고 부릅니다.
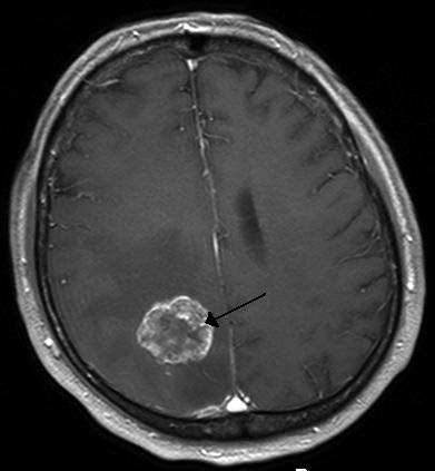
척수, 뇌간에 발생하지 않았다면 다른 치료 없이 완치가 가능한 양성종양도 있습니다. 반대로 주위 조직으로 퍼져나가고 성장 속도 빠른 악성종양도 있습니다. 뇌종양의 치료를 어렵게 만드는 점은 양성이든 악성이든 경계가 불분명하다는 점이죠. 특히 뇌종양을 진단받고 심각한 경우는 치료 시기를 놓쳐 주변의 정상적인 뇌 조직이 이미 망가졌을때 입니다.
눈으로 체크하기란 어렵습니다. 초기 증상을 잘 파악하는 것이 무엇보다 중요하죠. 스스로 뇌압을 조절하는 능력이 있는 우리의 뇌는 종양이 크게 변하기 전까지는 증상을 보이지 않기 때문에 스스로 뇌종양의 초기 증상에 대해서 아는 것이 좋습니다.
이러한 뇌종양은 뇌 조직이나 뇌를 싸고 있는 막에 발생한 종양을 뇌종양이라고 부릅니다. 그리고 머리뼈나 주위 멀리 떨어진 부위에서 뇌 조직이 뇌막으로 옮겨진 종양도 뇌종양이라고 봅니다.

@ 뇌종양 초기 증상
- 후각
뇌종양의 40% 정도가 부비동염, 중이염에서 염증이 커져서 발생합니다.
후각신경 부위에 종양이 있다면 후각을 잃게 될 수도 있습니다. 후각 신경 부위는 사실 많은 화자들이 크게 인지 하지 못해 초기의 치료시기를 놓치는 경우가 많습니다.
보통 부비동염 즉 축농증이라고 생각하고 넘어가기 때문입니다. 평소 축농증이 심하거나 계속한 증상이 이어진다면 뇌종양의 다른 증상들과 겹치지 않는지 확인해야 합니다.
- 두통
종양이 커지면서 뇌압이 상승하여 구토, 두통을 일으키게 됩니다. 뇌종양에서 가장 쉽게 볼 수 있는 증상입니다. 이런 증상이 나타난다면 바로 병원으로 가시는 것이 좋습니다.
두통이라는 질환이 사실 현대인이 많이 겪고 있기 때문에 뇌종양에서 오는 두통과 일반적인 두통을 구분하는 것이 중요합니다. 스트레스나 긴장에서 오는 일반적인 두통이라면 보통 오후에 발생합니다. 하지만 뇌종양에 의한 두통은 새벽에 심해지는 경우가 많으며 자고 일어났어도 구토, 두통이 이어집니다.
- 마비 증상
어느 정도 시간이 지난 뇌종양은 주위 신경을 계속해서 압박하게 됩니다.
신경이 마비되어 팔, 다리에 마비 증상이 나타날 수 있습니다. 뇌 조직에 생긴 종양의 크기와 위치에 따라 신경마비는 다르게 나타납니다. 운동 중추에 연관된 부위에 종양이 생긴다면 팔, 다리를 제대로 움직이지 못하게 되면 언어 중추에 연관된 부위라면 말이 어눌해지거나 언어 장애가 오게 됩니다.

'질병상식' 카테고리의 다른 글
| 피부건선 원인과 (초기)증상, 그리고 치료방법 (0) | 2021.08.20 |
|---|---|
| 어지러울때 느껴지는 빈혈 증상/빈혈의 원인은?/빈혈에 좋은 음식추천 (0) | 2021.08.16 |
| 심정지의 원인과 증상에 대해서 설명해드립니다. (0) | 2021.08.10 |
| 입냄새 나는 원인이 뭐죠? 제거하는 방법은? (0) | 2021.07.29 |
| 혈액순환이 잘 되지 않을 때 나타나는 증상에 대해서 알려드려요. (0) | 2021.07.15 |